首页 > 数码 > 中药联合化疗靶向,为晚期胆管细胞癌患者长期生存保驾护航

中药联合化疗靶向,为晚期胆管细胞癌患者长期生存保驾护航

肝内胆管细胞癌(简称为ICC),在肝脏原发恶性肿瘤中,发病率仅次于肝细胞癌,且呈逐年上升趋势。与肝细胞癌发病常与乙肝相关不同,ICC的危险因素包括原发性硬化性胆管炎、先天性胆管结构异常、肝内胆管结石、肝吸虫等寄生虫感染等。ICC的病理类型包括腺癌、腺鳞癌、鳞癌、印戒细胞癌等多种类型,以腺癌最常见。

目前,ICC的西医治疗多以手术切除为主,但因ICC早期常无明显症状,发现时常已失去手术机会。对于无法手术切除的患者,目前缺乏标准治疗方案,多以全身化疗或结合局部减瘤为主。中医药的全程参与可提高疗效,配合全身化疗可起到减毒增效的效果。

 

广州中医药大学第一附属医院肿瘤中心林丽珠教授从事中西医结合治疗肿瘤30余年,在运用中医中药结合西医治疗手段治疗恶性肿瘤,积累了丰富经验。现将一例经中西医治疗获得长期生存的晚期胆管细胞癌患者总结如下:

 

患者于某,女,首诊时33岁,于20126月开始无明显诱因出现上腹部持续性隐痛,至广州某三甲医院就诊。

2012828PET-CT示:肝门区肿块,代谢异常活跃,考虑恶性肿瘤,胆管细胞癌可能性大;余肝内多发病灶,代谢异常活跃,考虑转移瘤。遂于20120905日在气管内麻醉下行肝肿物切除术(右半肝+部分S4+部分尾状叶切除),术后病理示:(肝脏肿物)镜下肝组织内见腺癌浸润。免疫组化及病理提示中分化肝内胆管细胞癌,周围肝组织呈纤维化改变;送检十二枚淋巴结可见转移癌(1/5),肝S4段结节未见癌,(左肝结节)可见肝组织内癌结节。20121012日复查上腹部CT示残肝左叶内多个新发结节(最大直径约10mm),为肿瘤复发,肝门区和腹膜后见数个肿大淋巴结。2012-10-22返该院行肝TACE术及CIK细胞生物治疗。


此后20121031日转至我院治疗,20121123日我院CT示肝内多发肿瘤转移。于1128日开始行GEMOX方案化疗7程,期间2013126日在我院CT引导下行经皮肝脏肿物I125放射性粒子植入术。出院后门诊中医药治疗,定期复查提示病情稳定。

20121123日我院CT示肝内多发肿物


2014114日复查发现CA199升高至215U/ml,上腹部CT提示肝内新发病灶。2014117日开始按原方案化疗2程,201433日复查CT提示残肝肿瘤复发(最大约3.2cm×2.4cm,原同层面大小约2.4cm×2.2cm),较前进展,腹膜后淋巴结肿大较前改变不大。201435日、43日于原方案基础上加用贝伐珠单抗化疗2程,复查CT评价SD,此后继续予此方案行化疗6程(末次化疗20141125日)。出院后长期门诊服用中药治疗。


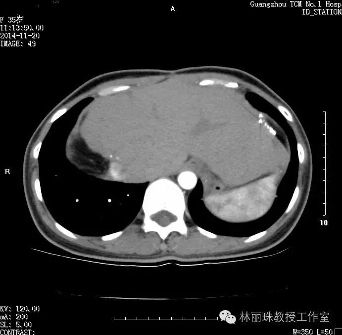
20141120日,治疗后2年,CT示患者肝内无明显病灶


2015812日复查CT提示残肝肿大,其内见多发结节及肿块影,较前明显增大,最大者位于左外叶上段(大小约9.6cm×4.4cm),腹膜后见多发小淋巴结影(最大直径11mm),双肺可见多发散在微小结节(直径约4~5mm)。遂于2015-8-29开始于原化疗方案配合贝伐珠单抗治疗共8程(末次化疗2016325日)。2016328日复查CT:残肝多发转移瘤较前明显缩小(5.3cm×1.4cm),左叶外侧段肿瘤放射粒子植入术后基本坏死,腹腔多发小淋巴结基本同前(1.1cm);双肺多发微结节(4~5mm),较前变化不大。后患者持续门诊中药治疗至今。2016617日复查CT示肝内多发转移瘤与3CT所见大致相同。


20155月复查,可见肝内出现肿瘤复发


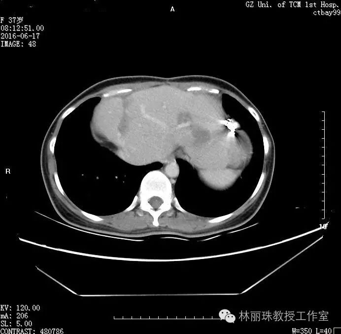
20166月患者复查CT示肝内肿物较前缩小


按:晚期ICC缺乏有效治疗手段,大部分患者确诊后多在6-8个月内死亡。本患者发现时已属晚期,外院肝癌术后复发TACE术后,在我院累计行化疗次数达25次之多,期间多次出现病情进展,在化疗的间歇期运用中医药维持治疗取得了很好的疗效林教授认为,该患者属肝热血瘀范畴,中医治法应以清肝凉血、解毒袪瘀为主,除了在化疗基础上予加用贝伐珠单抗靶向治疗、配合粒子植入术等西医治疗之外,还采用了全程中医药治疗保驾护航。

林教授认为恶性肿瘤患者不宜一味单纯化疗,化疗与中医药治疗应兼容并包。植物吸收土地养分后,土地便会变得贫瘠。犹如化疗虽能减小癌瘤,但又攻伐人体正气,化疗常伴随骨髓抑制、恶心呕吐、免疫力下降等副反应。此时人体需要中药来顾护正气,改善患者体质,土地肥沃,更有利于接受下阶段化疗。

患者自2012年确诊至今已存活近4年,一般情况良好,定期参与家庭聚餐及外出旅游。由此可见中医药治疗不仅在改善症状、稳定瘤体、延缓复发等方面有一定优势,在配合化疗及靶向治疗方面还能同时起到减毒增效的效果。

 



用微信扫描下面二维码,或点击文章顶部蓝色字,或搜索公众号llz20151015,可关注“林丽珠教授工作室”,点击右上角按钮分享到朋友圈。


友情链接