颌骨良性成牙骨质细胞瘤2例
↑ 点击上方蓝色字体 即可关注我们
作者:孙烁辉,李洪涛,汪维健,雒静,广州军区广州总医院口腔科
良性成牙骨质细胞瘤(benign cementoblastoma)又称为真性牙骨质(true cementoma),是一种临床少见的间叶来源的牙源性肿瘤,常与一颗或多颗牙齿的牙根相连,国内外有关该肿瘤的文献报道不多见。本文报告广州军区广州总医院口腔科收治的2例良性成牙骨质细胞瘤病例,并对其临床表现、影像学特点、治疗和预后进行探讨。
1资料和方法
1.1病例1
患者女性,58岁,2012年12月入院。患者于2010年11月因左下第三磨牙牙周肿痛,伴面颊部瘘管形成,到当地医院就诊,诊断为“左侧下颌骨慢性骨髓炎伴皮瘘”,予局麻下清除死骨、拔除第三磨牙及面颊部瘘管切除术。术后伤口愈合不良,反复出现面颊部瘘口形成伴有少量坏死性分泌物排出,左侧下颌角区逐渐膨隆。
入院检查:左侧咬肌区呈弥漫性肿胀,大小约4.5 cm×4.0 cm,中心部位皮肤明显充血,肿胀区域皮温偏高,压之有波动感,触痛感明显;张口度1.0 cm,34-38缺失。
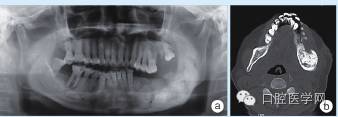
辅助检查:全颌曲面断层片显示左侧下颌骨体部可见类圆形高密度影,周围可见低密度影环绕(图1a);CT显示:左侧下颌骨体部呈膨胀性骨质改变,局部骨皮质变薄,内伴高密度骨质硬化影,边界尚清晰,周围软组织肿胀(图1b)。
图1 a:全颌曲面断层片;b:CT影像
发射型计算机断层扫描仪(emission computed tomography)骨显像显示:左侧下颌骨代谢异常活跃。
治疗:在气管插管全麻下行左下颌骨部分切除、游离髂骨移植重建术;术中见病变质地较正常骨质松软;肿物向颊、舌侧膨胀生长,部分突破颊侧骨皮质累及骨膜。术后病理诊断:良性成牙骨质细胞瘤(图1c)。
图1 c:病理图片HE×100
1.2病例2
患者男性,9岁,2012年7月入院。患者于2010年7月右侧上颌乳切牙脱落,同时发现右上颌前牙区膨隆,无明显不适,未进一步检查;2年后仍未见中切牙萌出,自觉右上颌前牙区膨隆逐渐加重。
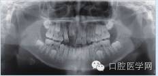
入院检查:混合牙列,11-12牙区见唇腭侧牙槽骨膨隆,腭侧较明显,表面黏膜颜色正常,触诊质地硬,无压痛感。辅助检查:全颌曲面断层片及CT显示11牙胚存在,其冠方牙槽骨内高密度团块影,周围可见低密度带,与周围骨组织分界清(图2a、b)。
图2 a:全颌曲面断层片;b:CT影像
治疗:在全麻下行右侧上颌骨肿物刮除,术中见牙槽骨内一类圆形肿物,直径约2.0 cm,质地硬,界限清楚;唇侧骨皮质已大部分被吸收;上方紧贴11牙冠切缘。术后病理诊断:良性成牙骨质细胞瘤(图2c)。
图2 c:病理图片HE×100
术后1年,11牙正常萌出(图3)。
图3 病例2术后1年全颌曲面断层片
2结果
病例1患者术后左下唇麻木,颌下切口无感染,复查全颌曲面断层片,见髂骨块及重建钛板固定良好,切口缝线拆除后出院。
病例2患者术后无诉上颌前牙牙龈切口胀痛感,术后1周拆线出院,术后2周复诊,见上颌前牙区牙龈缘切口稍肿胀,探及原囊腔内极少量积液,予引流冲洗两次,囊腔内未见积液渗出。
3讨论
良性成牙骨质细胞瘤为生长缓慢、起源于良性成牙骨质细胞的良性牙源性肿瘤,但也有侵袭性的报道,2005年世界卫生组织将良性成牙骨质细胞瘤命名为成牙骨质细胞瘤。该肿瘤75%发生于30岁以下的年轻人,无明显性别和人种差异,在上下颌骨均可发生,更多见于下颌骨,特别是下颌骨磨牙区,极少见于四肢,但也有报道下肢跟骨的牙骨质瘤,称为颌外牙骨质瘤。
临床主要表现为局部疼痛、肿胀,颌骨膨胀及质硬肿块,硬度与骨质相似,肿瘤生长缓慢。病理上主要由成牙骨质细胞、牙骨质和附属牙根组成,部分呈片状或小梁状,周边见成牙骨质细胞。该肿瘤具有较为特征性的影像学表现,为颌骨内界限清楚的孤立性圆形或卵圆形高密度影,周围伴有清晰的低密度透亮带,肿块内可见附属牙根。
本文报告的病例1临床表现为长时间36、37未萌出,因38牙周肿痛,行牙拔除术后出现拔牙创长期不愈,肿瘤周围软组织慢性感染灶穿通颊部皮肤形成皮瘘并伴有张口受限。X线表现为36、37完全骨埋藏,周围见骨密度不均匀及低密度带,伴有周围颌骨膨胀畸形。病例2临床表现为乳切牙脱落后恒切牙未萌出,X线表现为牙槽骨内类圆形高密度影肿物,周围可见低密度带形成,颌骨向唇腭向膨隆,唇侧骨皮质压迫吸收。
两例临床及影像学特点均符合良性成牙骨质细胞瘤,且经术后病理证实。良性成牙骨质细胞瘤的治疗根据肿瘤的部位、大小采用不同的手术方法。对于较小的肿瘤可经口内牙龈缘及前庭沟切口入路,拔除肿瘤累及的牙齿并将肿瘤刮除,优点是手术创伤小,预后良好,彻底手术切除后不易复发。肿瘤破坏骨皮质或为术后复发的危险因素,如肿瘤累及多个牙位及颌骨,特别是骨皮质已经破坏的病例,受累牙齿及颌骨需一并切除,才能达到治愈目的,同期采用自体骨移植修复颌骨缺损。本文报告两例患者术后均随访超过24个月以上,未见肿瘤复发。
来源:广东牙病防治2015年9月第23卷第9期
转自医脉通
推荐阅读:
 
    




